
|
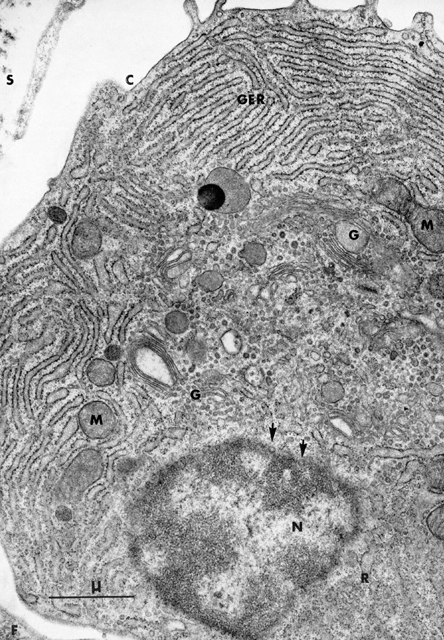
Plasmazelle aus
menschlichem
Gewebe:
C Zellmembran
schräg angeschnitten,
F Fibroplast,
G Golgiapparat,
GER Granular
Endoplasmatisches
Retikulum,
M Mitochondrium,
N Nucleus,
R Ribosomen,
S Bindegewebe,
Pfeile zeigen auf
nukleare Poren
aus der Aufsicht |