
|
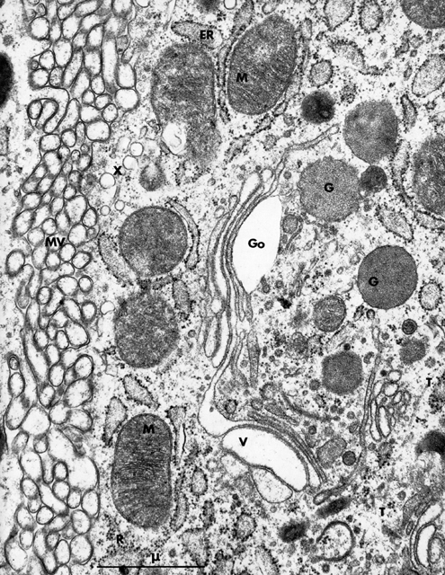
Zelle im Huhnmagen. Golgiapparat.
ER Granular Endoplasmatisches Retikulum,
G Zymogen-
Körnchen,
Go Golgiapparat,
M Mitochondrium,
R Rosetten von Ribosomen,
MV knollige(bulbous)
Microvilli,
T Microtobulie,
V Golgi-Vakuole,
X Tubulovisicles (röhrenförmige Vesikel) |